骨质疏松是全身骨质减少的一种现象,主要表现为骨骼中基质的含量明显减少,而骨骼中矿物质(主要是钙、磷)的成分基本正常。
是临床上比较常见的一种疾病,分原发性骨质疏松症和继发性骨质疏松症。

对于继发性的骨质疏松症,主要与疾病有关系,比如有糖尿病、甲状腺功能亢进以及垂体瘤;系统性红斑狼疮、类风湿性关节炎、干燥综合征以及皮肌炎;慢性的肾脏疾病,以及胃肠道疾病和营养性疾病,从而引起骨质疏松症。病人长时间卧床以后不活动,也容易导致废用性的骨质疏松症。

对于原发性的骨质疏松症,老年人或者更年期的女性,特别是中老年妇女在绝经以后,雌激素水平下降,从而引起骨质疏松以及骨质增生的发生。还有一种就是长时间饮酒或者服用激素的患者。

症状:(1)疼痛。原发性骨质疏松症最常见的症症,以腰背痛多见,占疼痛患者中的70%-80%。疼痛沿脊柱向两侧扩散,仰卧或坐位时疼痛减轻,直立时后伸或久立、久坐时疼痛加剧,日间疼痛轻,夜间和清晨醒来时加重,弯腰、肌肉运动、咳嗽、大便用力时加重。一般骨量丢失12%以上时即可出现骨痛。老年骨质疏松症时,椎体骨小梁萎缩,数量减少,椎体压缩变形,脊柱前屈,腰背肌为了纠正脊柱前屈,加倍收缩,肌肉疲劳甚至痉挛,产生疼痛。新近胸腰椎压缩性骨折,亦可产生急性疼痛,相应部位的脊柱棘突可有强烈压痛及叩击痛,一般2-3周后可逐渐减轻,部分患者可呈慢性腰痛。若压迫相应的脊神经可产生四肢放射痛、双下肢感觉运动障碍、肋间神经痛、胸骨后疼痛类似心绞痛,也可出现上腹痛类似急腹症。若压迫脊髓、马尾还会影响膀胱、直肠功能。

(2)身长缩短、驼背。多在疼痛后出现。脊椎椎体,容易压缩变形,使脊椎前倾,背曲加剧,形成驼背,随着年龄增长,骨质疏松加重,驼背曲度加大,身长平均缩短3-6cm。

(3)骨折。这是退行性骨质疏松症最常见和最严重的并发症。

通过这个表进行自我检测。

预防骨质疏松。

营养均衡。

增加日光照射。

适当锻炼。

治疗:对于原发性骨质疏松症的治疗目的有两个:预防病理性骨折和解除腰背痛。

药物主要有两类:一类是抑制骨流失;如钙剂、雌激素、降钙素等。另一类是促进骨形成药物,如氟化物、二膦酸盐类、甲状旁腺素等。

(1)钙剂 骨质疏松症病人,均应适当补钙。虽单纯补钙不能降低骨折的发生,但可作为骨质疏松症的辅助治疗。

(2)雌激素 一般最好在绝经期后即开始应用。单独使用雌激素有可能患乳腺癌和子宫内膜癌,故应使用最低有效剂量,并辅以适当的孕激素。

(3)降钙素 减少骨流失。

(4)维生素D 可以促进小肠钙的吸收和骨的矿化,活性维生素D可以促进骨形成,增加骨钙素的生成和碱性磷酸酶的活性。

(5)二膦酸盐类 是用于临床的新型骨吸收抑制剂。阿仑膦酸盐(又称福善美)、唑来膦酸等品种。


骨质疏松最主要并发症:骨折。
好发部位:骨的干骺端和胸腰椎。

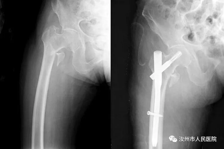
治疗多以微创治疗为主,如肱骨近端和粗隆间骨折及胸腰椎骨折,其中以粗隆间骨折和胸腰椎骨折多见。能有效减少痛苦,提高生活质量。

粗隆间骨折多应用PFNA微创治疗。

微创手术极大减少创伤,降低手术风险。

胸腰椎骨折多应用椎体成型技术。

只有0.5cm切口。术后第二天即可下床活动,减少卧床并发症。

而保守治疗多需卧床两到三个月,多数人不能配合,导致椎体压缩,后凸畸形,长期腰痛,给患者造成巨大痛苦。

通过这篇文章为大家介绍了骨质疏松症的病因、症状和治疗,希望能给大家带来帮助。

地址:汝州市人民医院朝阳院区病房楼12楼(东)骨科三病区
医院急救电话:120或0375-6666995
科室电话:0375-6019085
科主任 副主任医师 冯三刚 13903900697
护士长 梅旭红 15036875501
科副主任 副主任医师 苏帅国13525389272
科副主任 副主任医师 靳松峰15937588757
主治医师 贾红亮 13937556212
住院医师 袁海涛 15837528183
住院医师 冯祎晨 15886783300