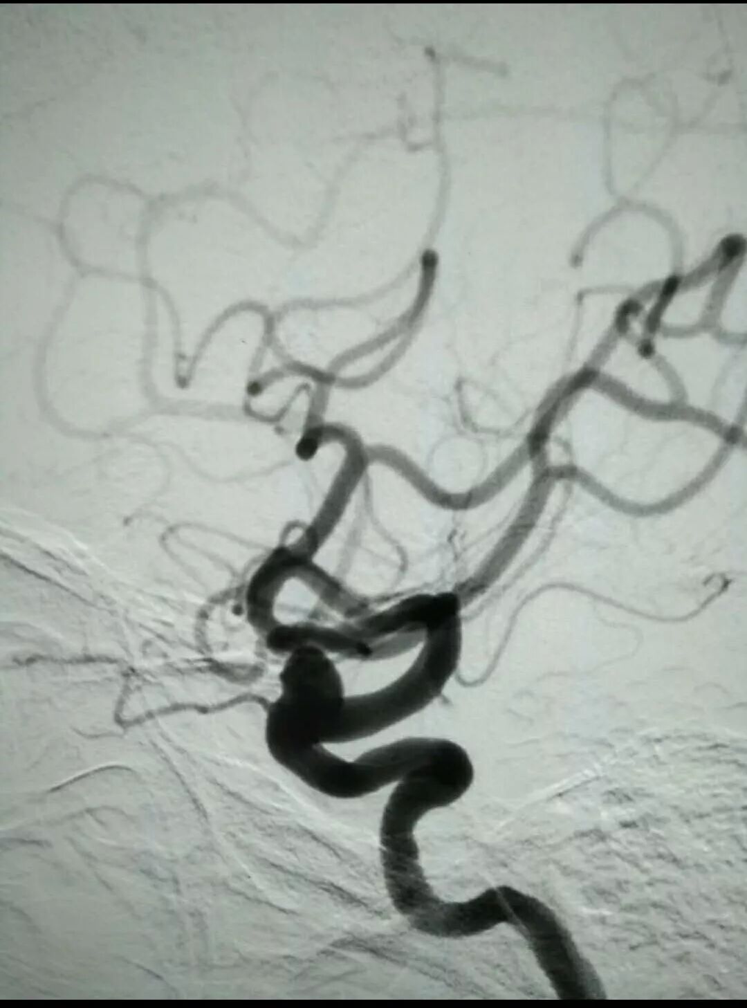
“医生、医生我时不时会头疼,快帮帮我。”2018年7月10日下午,一位44岁的女性患者带着磁共振片子来到我院求助。接诊的外科三病区医生胡要锋详细阅片后,MRA怀疑右侧颈内动脉虹吸段动脉瘤,联系科主任张兵杰,经全科综合考虑患者需行DSA检查进一步明确动脉瘤位置、形态、大小与载瘤动脉的关系。7月11日下午,DSA检查结果提示右侧颈内动脉眼段动脉瘤,约5mm*6mm大小,动脉瘤俗称为“脑内不定时炸弹”。
2
诊断明确了,动脉瘤就像悬在头顶上的一把剑,虽然未破裂,却给患者带来巨大的思想压力,怎样拆除炸弹,何时手术、在哪里手术、手术风险如何,患者反复斟酌,经过慎重考虑,患者决定手术,外科三病区团队联合麻醉科、放射科进行了多学科会诊,制定了详细治疗方案。
7月13日中午,在我院实行神经介入微创手术,诱导、插管麻醉、穿刺、确定工作位、弹簧圈填塞,手术按部就班的进行。由于为宽颈动脉瘤,手术必须在支架辅助下进行,支架到位后小心释放,通过血管内途径在支架辅助下直接闭塞脑动脉瘤,从而达到拆除“炸弹”的目的。
1

术后行抗血小板、缓解血管痉挛、脱水降颅压及对症治疗,患者康复出院,脑内炸弹顺利拆除。出院的时候,患者一再向科室医护人员感谢,感谢把患者脑子里的炸弹拆除。
2
外科三病区位于朝阳院区病房楼10楼东,成立于2001年。是我市成立最早的脑外科,在我市有较高的信誉,现有主治医师7名,护师10名,开放床位25张,常年与河科大一附院神经外科合作,并有专家常年坐诊指导临床,解决疑难病例及手术。 主要开展高血压性脑出血、微创锥颅碎吸术及开颅血肿清除术、急性重度颅脑损伤手术治疗、颅骨缺损修补术、脑积水、脑室-腹腔分流术、脑膜瘤、脑胶质瘤、垂体瘤、脊髓肿瘤等各种肿瘤的手术治疗。我科配备有我市最先进的显微镜:德国莱卡F40。具备钻、铣、磨一体化功能的国内著名西山品牌开颅用动力系统一套。
我科紧跟医疗科技发展,积极开展新技术——介入手术治疗。在医学影像设备引导下,利用弹簧圈栓塞术、支架置入术,对脑动脉瘤出血、脑缺血、脑梗塞等进行治疗。具有不开刀、创伤小、恢复快、安全高效特点。为我市唯一一家治疗脑血管病的介入科室。
外科三病区电话:6038527
主 任:张兵杰 13569558903
护士长: 姚润果 15037558803
供稿:胡要锋
供图:胡要锋
编辑:秦俊杰 杨栋 王婉璐
投稿邮箱:rzsynk@126.com
微信扫一扫
关注该公众号